Spendenaufrufe

"Gerettete Tiere aus dem Tierschutz sind nicht kaputt oder gestört, sie haben einfach nur mehr erlebt als andere Tiere. Wenn sie Menschen wären, würde man sie "weise" nennen. Sie würden diejenigen sein, die Geschichten erzählen und Erlebnisse aufschreiben könnten, diejenigen die auf eine schlechte Behandlung mit Courage reagieren.

Sie sollten Dir nicht leid tun. Mach etwas. Helfe zu retten! – Spende!

Sei freiwilliger Helfer, sei Pflegestelle!  Adoptiere!

Sei stolz darauf, ihre Grossartigkeit an Deiner Seite zu haben! "   Autor unbekannt

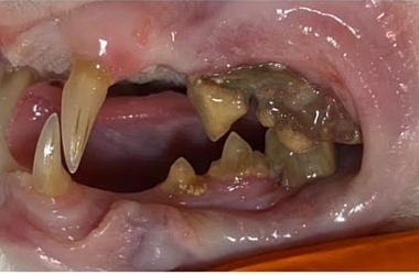
Spendenaufruf Schäferhund BOB

0 EUR erhalten
550 EUR benötigt
0,00 EUR
erhalten
550,00 EUR
benötigt

Dackelopa Flash litt unter akuter Bronchitis und hatte ein katastrophales Gebiss - nach seiner Komplettsanierung ist er unglaublich aufgeblüht

Wir haben den alten Hundemann übernommen, da sein schwer kranker Besitzer im Sterben lag und Flash nicht in's Tierheim sollte

1240 EUR erhalten
1545 EUR benötigt
1.240,00 EUR
erhalten
1.545,00 EUR
benötigt

Die Kitten Dora & Charlotte wurden nur wenige Wochen alt ausgesetzt und mussten kurz darauf stationär in die Tierklinik

Nach einer Verletzung am Auge bei Charlotte brach bei beiden Calicivirus aus, begleitet von hohem Fieber und der Unfähigkeit sich auf den Beinchen zu halten

Erfolgreich beendet!
782,00 EUR
erhalten
775,00 EUR
benötigt

Vincent & Maurice - zwei schwer verletzte (misshandelte?) Kater die jahrelang leiden mussten, weil niemand geholfen hat

Maurice hat eine abgerissene Hinterpfote, Vincent mehrfach gebrochene Hinterbeine und Tumore

Erfolgreich beendet!
1.450,00 EUR
erhalten
1.450,00 EUR
benötigt

Kastration und medizinische Versorgung verwilderter Katzen: 2. Halbjahr 2024

Ein Fass ohne Boden - ständig neue Fälle und Kolonien, die gefangen und kastriert werden müssen. Diese Aktionen sind zeitaufwändig und kostenintensiv, denn wir versuchen, alle Tiere an einem Ort zu fangen

Erfolgreich beendet!
2.831,00 EUR
erhalten
2.830,00 EUR
benötigt

Operationskosten für Neptune

Er musste bisher auf einem Schrottplatz leben, hat sich schwer verletzt und sein Besitzer will ihn loswerden

Erfolgreich beendet!
896,00 EUR
erhalten
750,00 EUR
benötigt

Schnurri wurde mit abgerissener Pfote gefunden- um ihn zu retten mussten wir sein Hinterbein amputieren lassen

Zu allem Übel hat Schnurri nun noch eine Hautpilzinfektion

Erfolgreich beendet!
950,00 EUR
erhalten
950,00 EUR
benötigt

Delia wurde krank und abgemagert zurückgelassen und erholt sich nur langsam

Sie musste alleine auf sich gestellt auf der Strasse überleben

Erfolgreich beendet!
744,00 EUR
erhalten
739,00 EUR
benötigt

SPENDENAUFRUF ERFOLGREICH BEENDET! Kastration und medizinische Versorgung verwilderter & gefundener Katzen im Dreiländereck CH-F-D 2023/2024

Alle aufgelisteten Katzen waren unkastriert, viele verletzt oder erkrankt und benötigten medizinische Behandlung

4690 EUR erhalten
4695 EUR benötigt
4.690,00 EUR
erhalten
4.695,00 EUR
benötigt

SPENDENAUFRUF BEENDET! - Für diesen Streunerkater kam unsere Hilfe zu spät - er musste von seinem Leiden erlöst werden

Leukose positiv, das Mäulchen komplett entzündet, abgemagert bis auf die Knochen

Erfolgreich beendet!
217,00 EUR
erhalten
210,00 EUR
benötigt

SPENDENAUFRUF ERFOLGREICH BEENDET! Unsere Oma Camille wollte plötzlich nicht mehr fressen & trinken

Nach gründlichen Untersuchungen wurde die Ursache gefunden

Erfolgreich beendet!
520,00 EUR
erhalten
520,00 EUR
benötigt

SPENDENAUFRUF BEENDET! - Kätzchen Millie: gebrochener Kiefer & Kinnabriss - damit hat das Katzenkind wochenlang unbemerkt gelebt

Dank zweier Operationen ist Millie nun endlich schmerzfrei und ihr Bruch und das Kinn heilen langsam

Erfolgreich beendet!
890,00 CHF
erhalten
890,00 CHF
benötigt

SPENDENAUFRUF ERFOLGREICH BEENDET! Schlimmer Notfall weisser Findelkater Hero - eine offene Wunde, Parasiten, Hautkrebs, FIV+, entzündetes Mäulchen, kaum mehr Zähne

Der Kater wurde einige Zeit von Anwohnern gefüttert bis sie bemerkt haben, WIE schlecht sein Zustand ist und uns um Hilfe baten. Es war 5 vor 12 für ihn!

Erfolgreich beendet!
954,00 EUR
erhalten
950,00 EUR
benötigt

SPENDENAUFRUF ERFOLGREICH BEENDET! Kastration, medizinische Versorgung und Fütterung verwilderter, gefangener und gefundener Katzen im Südelsass und Basel 2022

Alle Katzen sind unkastriert, viele verletzt oder erkrankt und brauchen medizinische Behandlung

Erfolgreich beendet!
2.760,00 EUR
erhalten
2.760,00 EUR
benötigt

SPENDENAUFRUF ERFOLGREICH BEENDET - Wir brauchen dringend Katzenfutter, Kittenfutter, Welpenmilch und Katzenstreu

Innerhalb von 2,5 Wochen haben wir 33 Katzen aufgenommen und alle sind hungrig

Erfolgreich beendet!
700,00 EUR
erhalten
700,00 EUR
benötigt

SPENDENAUFRUF ERFOLGREICH BEENDET - Pensionskosten & Schmerzmittel für Spüri in Rente Harri

Wir haben Harri in einer Hundepension untergebracht bis er einen Endplatz findet

Erfolgreich beendet!
445,00 EUR
erhalten
445,00 EUR
benötigt

SPENDENAUFRUF ERFOLGREICH BEENDET - Chihuahua Hündin Alyska war nach einem Unfall gelähmt und sollte eingeschläfert werden

Wir haben die kleine Hündin davor bewahrt und nur drei Monate später läuft sie wieder

Erfolgreich beendet!
1.000,00 EUR
erhalten
900,00 EUR
benötigt

SPENDENAUFRUF ERFOLGREICH BEENDET - Kastration, medizinische Versorgung und Fütterung verwilderter, gefangener und gefundener Katzen im Südelsass 2021

Viele der Katzen waren verletzt oder erkrankt und brauchten intensive medizinische Behandlung

Erfolgreich beendet!
4.814,00 EUR
erhalten
4.800,00 EUR
benötigt

Verein Pfotenteam Tierhilfe
c/o Kleintierpraxis am Ring
Riehenring 171
CH-4058 Basel

Pfotenteam Tierhilfe ist ein Verein mit Sitz in Basel. Alle Pfotenteamler arbeiten ehrenamtlich. Wir helfen in Not geratenen Hunden, Katzen, Kleintieren aus dem Dreiländereck Schweiz - Frankreich - Deutschland. Pfotenteam Tierhilfe betreibt kein eigenes Tierheim, alle unsere Vermittlungstiere sind in Pflegefamilien oder Tierpensionen untergebracht. Weiterlesen

 

Design & Content Management Pfotenpage von ATELIERVISION

Verein Pfotenteam Tierhilfe | c/o Kleintierpraxis am Ring | Riehenring 171 | CH-4058 Basel

Auf dieser Seite möchten wir Cookies (auch von Dritten) verwenden. Wenn Sie diese Website weiterhin nutzen oder auf "Akzeptieren" klicken, erklären Sie, damit einverstanden und mindestens 16 Jahre alt zu sein. Sie können Ihre Einwilligung jederzeit widerrufen. Weitere Infos.

Akzeptieren