Bild /

Oktober 2025: Die beiden Geschwisterchen Dora & Charlotte wurden nur wenige Wochen alt auf einem Parkplatz ausgesetzt. In einem Karton einfach abgestellt.
Glücklicherweise fand sie eine Kollegin von Pfotenteam und nahm die Zwerge bei sich auf, sie mussten noch mit dem Fläschchen geschöppelt werden.
Doch wenige Tage darauf verletze sich Charlotte am Auge und musste sofort zum Tierarzt, da es böse angeschwollen war und tränte. Eventuell hat sie von ihrer Schwester beim Spielen die Krallen in s Auge bekommen.
Nachdem das Äuglein abgeheilt war, wollte Charlotte 10 Tage später nicht mehr essen, konnte die Hinterbein kaum mehr bewegen und bekam Fieber, kurz darauf ging es auch Dora mit den gleichen Symptomen sehr schlecht.
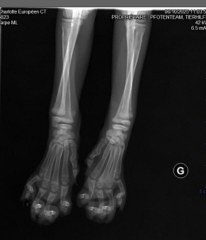
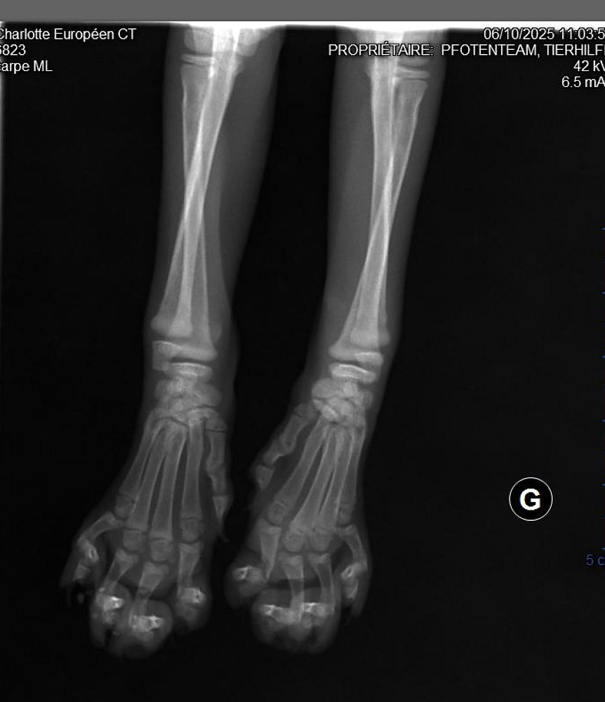
So  mussten beide einige Tage stationär in der Tierklinik an die Infusion, Charlotte hatte starkes Fieber, ihre Beine wurden geröntgt,  bei Dora hingegen setzte nach den Medikamenten eine Unterkühlung ein, sie musste auf die Wärmematte. Beide bekamen Antibiotika und es wurde ein Bluttest gemacht, die Ärztin vermutete einen akuten Calicivirusschub.
Da sie stark abgenommen hatten, wussten wir nicht ob sie es schaffen. Doch die Behandlung war erfolgreich, inzwischen sind beide wieder in der Pflegefamilie zurück und haben sich gut erholt.

Dennoch brauchen wir wieder einmal Eure Hilfe, denn die Kosten für Medikament, tierärztliche Versorgung und stationäre Unterbringung für die beiden Kitten sind doch sehr hoch ausgefallen.
Jeder noch so kleine Betrag hilft uns weiter zu machen, anderen Tieren in Not zu helfen - wir danken schon jetzt für Eure Unterstützung!

Die Kitten Dora & Charlotte wurden nur wenige Wochen alt ausgesetzt und mussten kurz darauf stationär in die Tierklinik

Nach einer Verletzung am Auge bei Charlotte brach bei beiden Calicivirus aus, begleitet von hohem Fieber und der Unfähigkeit sich auf den Beinchen zu halten

50 EUR erhalten
775 EUR benötigt
50,00 EUR
erhalten
775,00 EUR
benötigt

So können Sie spenden:

Spenden per Banküberweisung (Schweizer Franken)
Kontohaber: Pfotenteam Tierhilfe, Riehenring 171, 4058 Basel
PostFinance
IBAN: CH75 0900 0000 6032 2666 4
BIC: POFI CH BE


Spenden per Banküberweisung (EURO)
Pfotenteam Tierhilfe
EthikBank Eisenberg
IBAN: DE64 8309 4495 0003 1080 90
BIC: GENODEF1ETK

 

Spenden Sie einfach per Paypal

 


Auf der nächsten Seite können Sie den Betrag festlegen.
WICHTIG: Bitte bei"Mitteilung an den Spender" angeben, für welches Tier die Spende gedacht ist, damit wir Ihren Namen in die Dankesliste eintragen können. Vielen Dank!
Sie können auch eine PayPal Spende einfach direkt senden an paypal@pfotenteam.com

 

Wir sagen Danke an:

Danke an: Gitte Ruch

Die Kitten Dora & Charlotte wurden nur wenige Wochen alt ausgesetzt und mussten kurz darauf stationär in die Tierklinik

50 EUR erhalten
775 EUR benötigt
50,00 EUR
erhalten
775,00 EUR
benötigt

So können Sie spenden:

Spenden per Banküberweisung (Schweizer Franken)
Kontohaber: Pfotenteam Tierhilfe, Riehenring 171, 4058 Basel
PostFinance
IBAN: CH75 0900 0000 6032 2666 4
BIC: POFI CH BE


Spenden per Banküberweisung (EURO)
Pfotenteam Tierhilfe
EthikBank Eisenberg
IBAN: DE64 8309 4495 0003 1080 90
BIC: GENODEF1ETK

 

Spenden Sie einfach per Paypal

 


Auf der nächsten Seite können Sie den Betrag festlegen.
WICHTIG: Bitte bei"Mitteilung an den Spender" angeben, für welches Tier die Spende gedacht ist, damit wir Ihren Namen in die Dankesliste eintragen können. Vielen Dank!
Sie können auch eine PayPal Spende einfach direkt senden an paypal@pfotenteam.com

 

Wir sagen Danke an:

Danke an: Gitte Ruch

Oktober 2025: Die beiden Geschwisterchen Dora & Charlotte wurden nur wenige Wochen alt auf einem Parkplatz ausgesetzt. In einem Karton einfach abgestellt.
Glücklicherweise fand sie eine Kollegin von Pfotenteam und nahm die Zwerge bei sich auf, sie mussten noch mit dem Fläschchen geschöppelt werden.
Doch wenige Tage darauf verletze sich Charlotte am Auge und musste sofort zum Tierarzt, da es böse angeschwollen war und tränte. Eventuell hat sie von ihrer Schwester beim Spielen die Krallen in s Auge bekommen.
Nachdem das Äuglein abgeheilt war, wollte Charlotte 10 Tage später nicht mehr essen, konnte die Hinterbein kaum mehr bewegen und bekam Fieber, kurz darauf ging es auch Dora mit den gleichen Symptomen sehr schlecht.
So  mussten beide einige Tage stationär in der Tierklinik an die Infusion, Charlotte hatte starkes Fieber, ihre Beine wurden geröntgt,  bei Dora hingegen setzte nach den Medikamenten eine Unterkühlung ein, sie musste auf die Wärmematte. Beide bekamen Antibiotika und es wurde ein Bluttest gemacht, die Ärztin vermutete einen akuten Calicivirusschub.
Da sie stark abgenommen hatten, wussten wir nicht ob sie es schaffen. Doch die Behandlung war erfolgreich, inzwischen sind beide wieder in der Pflegefamilie zurück und haben sich gut erholt.

Dennoch brauchen wir wieder einmal Eure Hilfe, denn die Kosten für Medikament, tierärztliche Versorgung und stationäre Unterbringung für die beiden Kitten sind doch sehr hoch ausgefallen.
Jeder noch so kleine Betrag hilft uns weiter zu machen, anderen Tieren in Not zu helfen - wir danken schon jetzt für Eure Unterstützung!

Verein Pfotenteam Tierhilfe
c/o Kleintierpraxis am Ring
Riehenring 171
CH-4058 Basel

Pfotenteam Tierhilfe ist ein Verein mit Sitz in Basel. Alle Pfotenteamler arbeiten ehrenamtlich. Wir helfen in Not geratenen Hunden, Katzen, Kleintieren aus dem Dreiländereck Schweiz - Frankreich - Deutschland. Pfotenteam Tierhilfe betreibt kein eigenes Tierheim, alle unsere Vermittlungstiere sind in Pflegefamilien oder Tierpensionen untergebracht. Weiterlesen

 

Design & Content Management Pfotenpage von ATELIERVISION

Verein Pfotenteam Tierhilfe | c/o Kleintierpraxis am Ring | Riehenring 171 | CH-4058 Basel

Auf dieser Seite möchten wir Cookies (auch von Dritten) verwenden. Wenn Sie diese Website weiterhin nutzen oder auf "Akzeptieren" klicken, erklären Sie, damit einverstanden und mindestens 16 Jahre alt zu sein. Sie können Ihre Einwilligung jederzeit widerrufen. Weitere Infos.

Akzeptieren