Bild /

Februar 2026: Vor einigen Wochen durfte die zauberhafte Katzenomi Karisma in eine Pflegestelle ziehen. Sie hat zuvor über 16 Jahre draussen gelebt, wurde lediglich von Anwohnern gefüttert und konnte in einem Keller schlafen.

Karisma brauchte etliche Wochen um in ihrer liebevollen Pflegefamilie anzukommen und war nun mehrmals beim Veterinär und es war wirklich dringend nötig.
Von Karisma wurde ein ausführliches geriatrisches Blutbild und eine hormonelle Herz-Vorsorge Untersuchung gemacht. Sie wurde auf Fiv und Leukose getestet und gechipt. Ihre Krallen wurden (in Sedierung geschnitten) und die Zähne untersucht.
Das Blutbild ergab, dass Karisma unter einer Schilddrüsenüberfunktion leidet, dagegen bekommt sie nun ein Medikament. Sie hatte Anfangs starken Reflux, auch dagegen wurde sie erfolgreich behandelt.

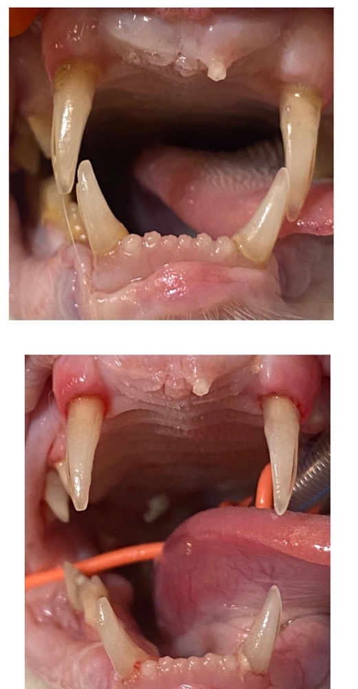
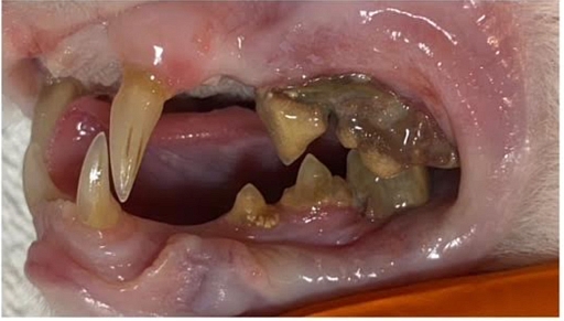
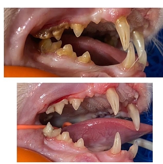
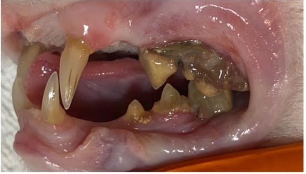
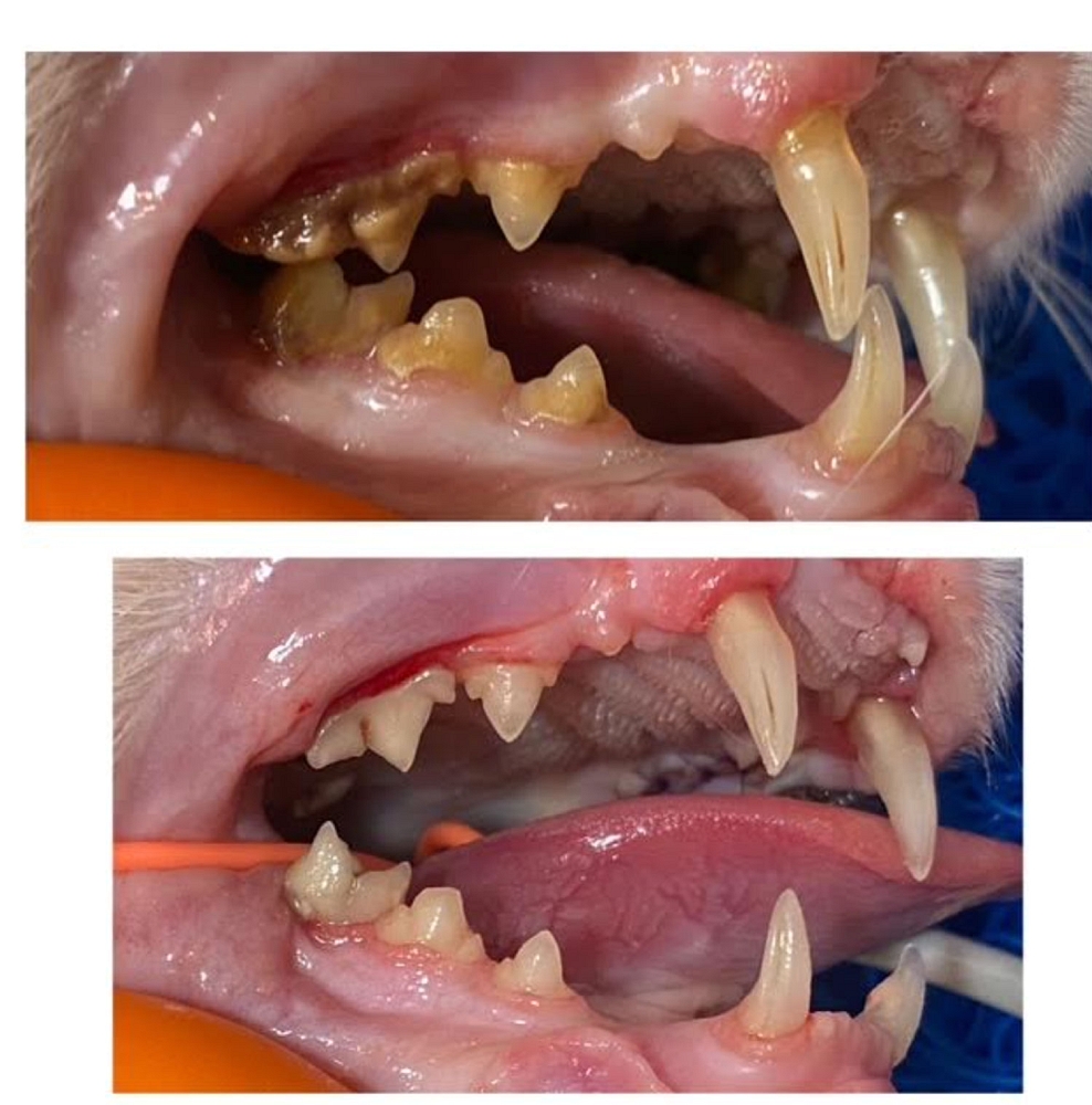
Die grösste Baustelle aber war und ist ihr Gebiss: 
Bisher wurde eine Seite behandelt, einige Zähne sind dabei praktisch fast von alleine raus gefallen andere mussten gezogen werden.
Da ihr aufgrund ihres Alters keine zu lange Narkose zugemutet werden sollte, wurde erst eine Seite ihres Gebisses gemacht, die andere Seite folgt in einigen Wochen.
Bereits jetzt speichelt sie weniger und macht allgemein einen besseren Eindruck. Karisma hat vermutlich viele Jahre unter schlimmen Zahnschmerzen gelitten.

Die Tabletten gegen ihre Schilddrüsenüberfunktion nimmt sie gut und auch in dieser Hinsicht geht es ihr nun besser.
Wir sind sehr sehr froh und dankbar, konnten wir diese wunderbare Kätzin übernehmen und ihr helfen. Ihre Pflegefamilie begleitet Karisma sehr sanft und zurückhaltend und lässt Karisma Zeit, in ihrem Tempo "anzukommen".
Unser Spendenaufruf hier beinhaltet bereits die geschätzten Kosten für die zweite Zahnbehandlung und wir brauchen wieder einmal mehr Eure Unterstützung.
Damit wir auch künftig Tieren wie Karisma helfen können, für die sonst niemand einsteht und die, sich selbst überlassen, sonst lange unbemerkt leiden. 

Karisma lebte über 16 Jahre auf der Strasse und war nie bei einem Tierarzt. Das hat Spuren hinterlassen. Vor allem an ihrem Gebiss. Jetzt wurde sie umfassend untersucht und ihr Gebiss saniert

Sie wird nun auch gegen ihre Schilddrüsenüberfunktion behandelt

1603 CHF erhalten
1850 CHF benötigt
1.603,00 CHF
erhalten
1.850,00 CHF
benötigt

So können Sie spenden:

Spenden per Banküberweisung (Schweizer Franken)
Kontohaber: Pfotenteam Tierhilfe, Riehenring 171, 4058 Basel
PostFinance
IBAN: CH75 0900 0000 6032 2666 4
BIC: POFI CH BE


Spenden per Banküberweisung (EURO)
Pfotenteam Tierhilfe
EthikBank Eisenberg
IBAN: DE64 8309 4495 0003 1080 90
BIC: GENODEF1ETK

 

Wir sagen Danke an:

Danke an: Attila J. Olah, Rota Bene GmbH, Traute Zimmermann, Gitte Ruch, Jessica & Stefan Zimara, Conchita Figuerola, Ines Fuhrer, Dr. Karsten Eulenberg und Dr. Sonja Reinecke, Daniela Brechbühler, Felicia Preuss, Christian Geiger (2x), Katharina & Peter Pfefferkorn (2x), Michèle Wilhelm (2x), Ursula Mynarek, Lucette Klein, F. Preuss, Nicolas Lajos Puskas

Karisma lebte über 16 Jahre auf der Strasse und war nie bei einem Tierarzt. Das hat Spuren hinterlassen. Vor allem an ihrem Gebiss. Jetzt wurde sie umfassend untersucht und ihr Gebiss saniert

1603 CHF erhalten
1850 CHF benötigt
1.603,00 CHF
erhalten
1.850,00 CHF
benötigt

So können Sie spenden:

Spenden per Banküberweisung (Schweizer Franken)
Kontohaber: Pfotenteam Tierhilfe, Riehenring 171, 4058 Basel
PostFinance
IBAN: CH75 0900 0000 6032 2666 4
BIC: POFI CH BE


Spenden per Banküberweisung (EURO)
Pfotenteam Tierhilfe
EthikBank Eisenberg
IBAN: DE64 8309 4495 0003 1080 90
BIC: GENODEF1ETK

 

Wir sagen Danke an:

Danke an: Attila J. Olah, Rota Bene GmbH, Traute Zimmermann, Gitte Ruch, Jessica & Stefan Zimara, Conchita Figuerola, Ines Fuhrer, Dr. Karsten Eulenberg und Dr. Sonja Reinecke, Daniela Brechbühler, Felicia Preuss, Christian Geiger (2x), Katharina & Peter Pfefferkorn (2x), Michèle Wilhelm (2x), Ursula Mynarek, Lucette Klein, F. Preuss, Nicolas Lajos Puskas

Februar 2026: Vor einigen Wochen durfte die zauberhafte Katzenomi Karisma in eine Pflegestelle ziehen. Sie hat zuvor über 16 Jahre draussen gelebt, wurde lediglich von Anwohnern gefüttert und konnte in einem Keller schlafen.

Karisma brauchte etliche Wochen um in ihrer liebevollen Pflegefamilie anzukommen und war nun mehrmals beim Veterinär und es war wirklich dringend nötig.
Von Karisma wurde ein ausführliches geriatrisches Blutbild und eine hormonelle Herz-Vorsorge Untersuchung gemacht. Sie wurde auf Fiv und Leukose getestet und gechipt. Ihre Krallen wurden (in Sedierung geschnitten) und die Zähne untersucht.
Das Blutbild ergab, dass Karisma unter einer Schilddrüsenüberfunktion leidet, dagegen bekommt sie nun ein Medikament. Sie hatte Anfangs starken Reflux, auch dagegen wurde sie erfolgreich behandelt.

Die grösste Baustelle aber war und ist ihr Gebiss: 
Bisher wurde eine Seite behandelt, einige Zähne sind dabei praktisch fast von alleine raus gefallen andere mussten gezogen werden.
Da ihr aufgrund ihres Alters keine zu lange Narkose zugemutet werden sollte, wurde erst eine Seite ihres Gebisses gemacht, die andere Seite folgt in einigen Wochen.
Bereits jetzt speichelt sie weniger und macht allgemein einen besseren Eindruck. Karisma hat vermutlich viele Jahre unter schlimmen Zahnschmerzen gelitten.

Die Tabletten gegen ihre Schilddrüsenüberfunktion nimmt sie gut und auch in dieser Hinsicht geht es ihr nun besser.
Wir sind sehr sehr froh und dankbar, konnten wir diese wunderbare Kätzin übernehmen und ihr helfen. Ihre Pflegefamilie begleitet Karisma sehr sanft und zurückhaltend und lässt Karisma Zeit, in ihrem Tempo "anzukommen".
Unser Spendenaufruf hier beinhaltet bereits die geschätzten Kosten für die zweite Zahnbehandlung und wir brauchen wieder einmal mehr Eure Unterstützung.
Damit wir auch künftig Tieren wie Karisma helfen können, für die sonst niemand einsteht und die, sich selbst überlassen, sonst lange unbemerkt leiden. 

Verein Pfotenteam Tierhilfe
c/o Kleintierpraxis am Ring
Riehenring 171
CH-4058 Basel

Pfotenteam Tierhilfe ist ein Verein mit Sitz in Basel. Alle Pfotenteamler arbeiten ehrenamtlich. Wir helfen in Not geratenen Hunden, Katzen, Kleintieren aus dem Dreiländereck Schweiz - Frankreich - Deutschland. Pfotenteam Tierhilfe betreibt kein eigenes Tierheim, alle unsere Vermittlungstiere sind in Pflegefamilien oder Tierpensionen untergebracht. Weiterlesen

 

Design & Content Management Pfotenpage von ATELIERVISION

Verein Pfotenteam Tierhilfe | c/o Kleintierpraxis am Ring | Riehenring 171 | CH-4058 Basel

Auf dieser Seite möchten wir Cookies (auch von Dritten) verwenden. Wenn Sie diese Website weiterhin nutzen oder auf "Akzeptieren" klicken, erklären Sie, damit einverstanden und mindestens 16 Jahre alt zu sein. Sie können Ihre Einwilligung jederzeit widerrufen. Weitere Infos.

Akzeptieren